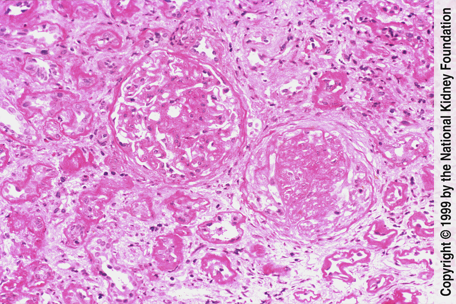
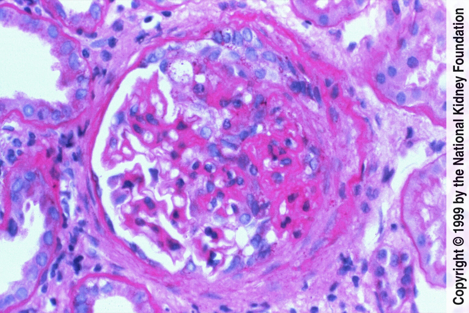
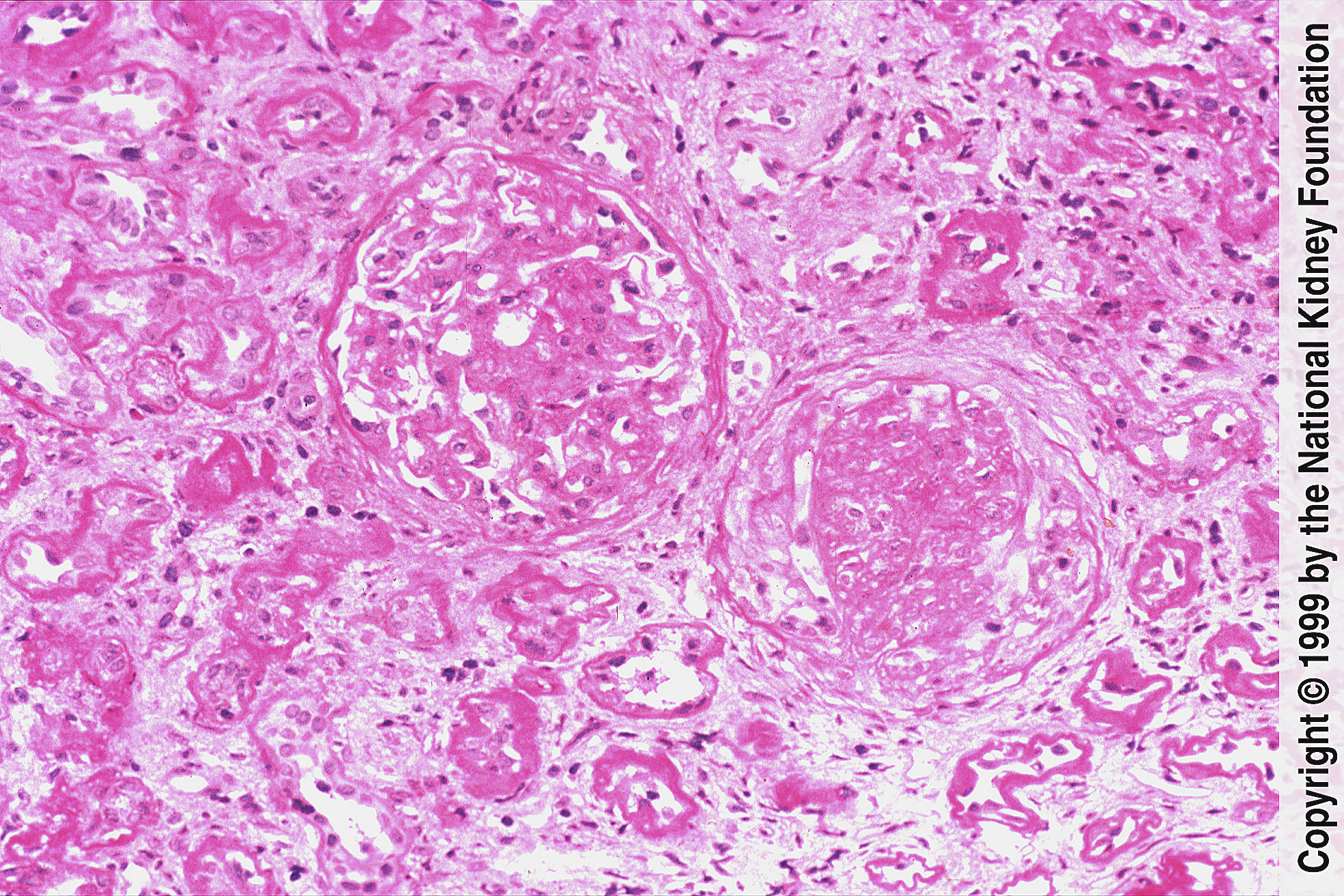
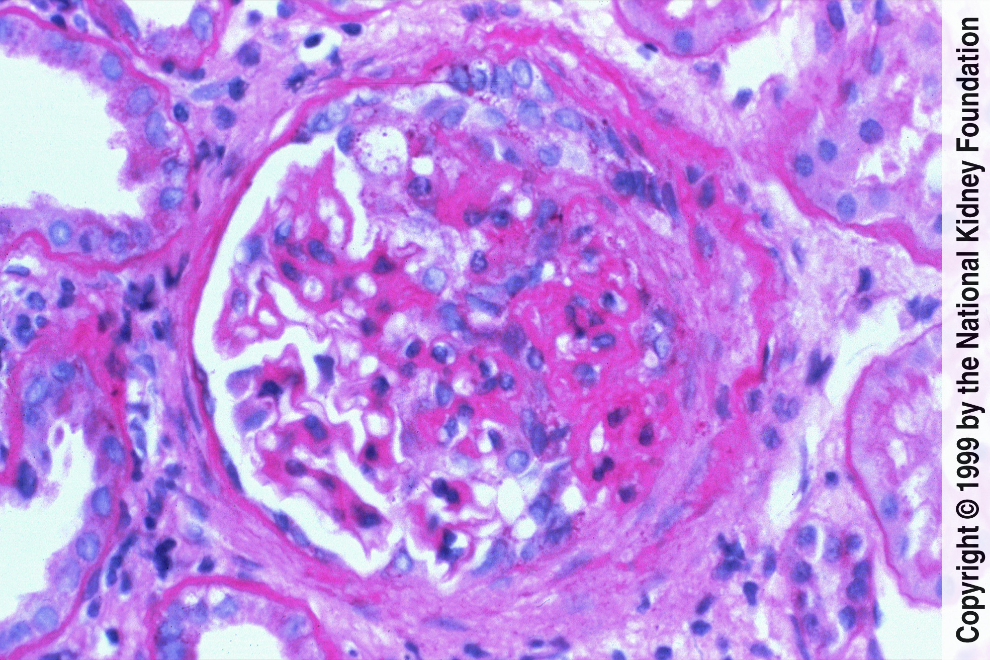
Program je zasnovan kot poglobljen in praktično usmerjen pregled: od prepoznave na primarni ravni in pravilne napotitve v nefrološko obravnavo do razumevanja patofiziologije, diagnostike in aktualnih terapevtskih pristopov. Obravnavali bomo ključne glomerulne bolezni (npr. IgA glomerulonefritis, podocitopatije, sistemske vaskulitise, s komplementom povezane glomerulne bolezni ipd.) ter obravnavo v posebnih stanjih (nosečnost, dializa, presaditev ledvice). Predstavili bomo tudi sistematično zbrane izkušnje UKC Ljubljana pri posameznih boleznih v obdobju 10 let in več.
Dodatne informacije
15.–16. 5. 2026
Šola glomerulnih bolezni je namenjena specialistom in specializantom vseh specialnosti, ki v klinični praksi obravnavajo bolnike z glomerulno boleznijo ali s sistemsko avtoimunsko boleznijo z ledvično prizadetostjo – prvenstveno nefrologom, revmatologom in družinskim zdravnikom, pa tudi vsem zdravnikom, ki želijo pridobiti ali nadgraditi znanje o glomerulnih boleznih ter se seznaniti s sodobnim pristopom k bolniku z glomerulonefritisom.



Šola glomerulnih bolezni je namenjena specialistom in specializantom vseh specialnosti, ki v klinični praksi obravnavajo bolnike z glomerulno boleznijo ali s sistemsko avtoimunsko boleznijo z ledvično prizadetostjo – prvenstveno nefrologom, revmatologom in družinskim zdravnikom, pa tudi vsem zdravnikom, ki želijo pridobiti ali nadgraditi znanje o glomerulnih boleznih ter se seznaniti s sodobnim pristopom k bolniku z glomerulonefritisom.



ŠOLA
GLOMERULNIH
BOLEZNI
Sponzorji
Sponzorji